Один из первых случаев «попкорновой болезни» вейперов выявили в России
Врачи нашли заболевание у одного из подростков в Томске.

У одного из подростков в Томске врачи нашли новое опасное заболевание вейперов EVALI (е-cigarette and vaping use-associated lung injury), также называемую «попкорновой болезнью». Это один из первых случаев болезни, официально зафиксированных в России, говорится в Telegram-канале регионального управления Роспотребнадзора.
Болезнь представляет собой новую форму бронхита и проявляется в виде воспаления, образования рубцов и сужения бронхиол. Ее название связано с тем, что при прослушивании легких пациента врачи слышат звуки, похожие на треск разрывающегося попкорна. Развивается заболевание из-за употребления курительных смесей, в составе которых присутствует ароматизатор диацетил, опасный при регулярном вдыхании через вейп.
Впервые EVALI диагностировали в 2019 году в США, пока что нет эффективного лечения для этой формы бронхиолита.

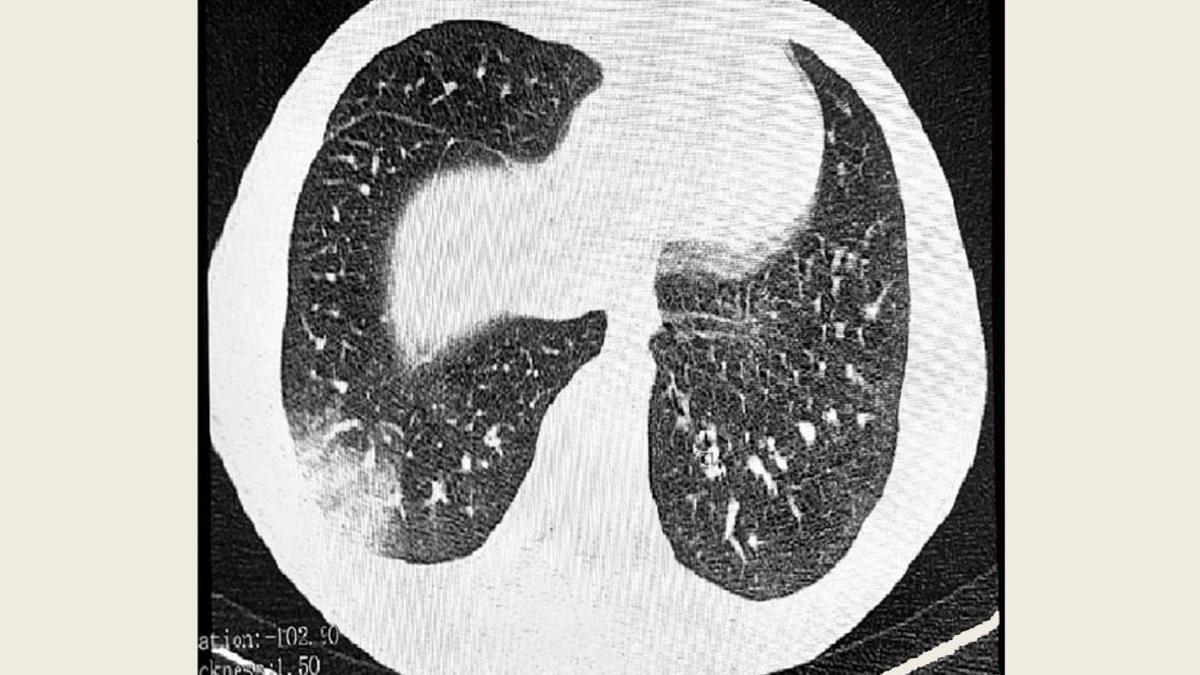
Ранее в Минздраве говорили, что основными симптомами EVALI, как и у COVID-19, считаются высокая температура, общая слабость и недомогание, кашель и одышка. Одним из первых признаков EVALI является нарушение работы желудочно-кишечного тракта. Также происходят патологические изменения в легких курильщика, которые выявляются при помощи компьютерной томографии.
Врач Александра Филёва говорила, что болезнь может привести к дыхательной недостаточности, а иногда и к смерти, если ее не начать лечить. Она также отмечала, что утверждать, что вейпы безопаснее сигарет, нельзя, так как негативное влияние на здоровье есть у каждого из них.
Все самое интересное в нашем телеграм-канале.
Подписывайтесь на нас в Дзен!
Женщина замерзла в снегу.
В Госавтоинспекции Казани напомнили, что правило действует с начала 2025 года.
Волонтеры еще раз проверят всю территорию, как только сойдет снег.
Решение принято единогласно, далее прокуратура будет требовать сроки для Андрея Нейдера и Марата Гатиятуллина.
Мария Ларионова специализировалась на обучении «будущих миллионеров».
Два триллиона рублей одолжили россияне в МФО в 2025 году. Но темпы роста многомиллиардного портфеля займов упали. Эксперты считают: рынок сжался в ожидании ограничений. По их прогнозам, до нового года могут не дожить до 20% игроков.









